Lakeshore Dental Care has served the Saint Cloud, Florida area for more than thirty years, and we’re proud to create beautiful smiles for our long-time and new patients. Take a moment to see what’s possible by browsing our before-and-after photos!
Composite restoration to repair fractured tooth.


Composite restoration to repair fractured tooth.


Failing silver filling replaced with porcelain crown.


Both teeth had old broken down silver fillings that were replaced with porcelain crowns.


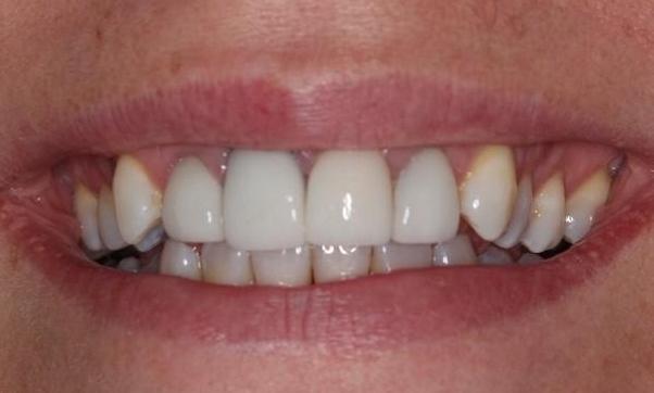
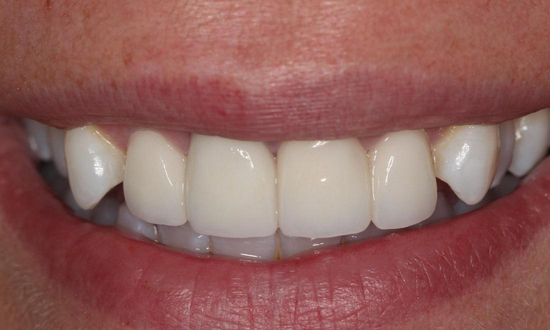
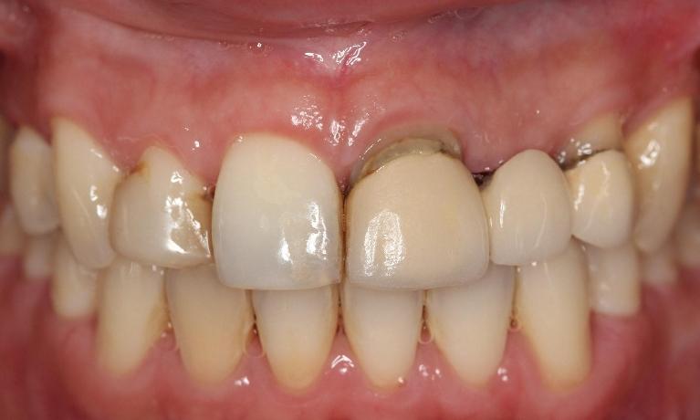
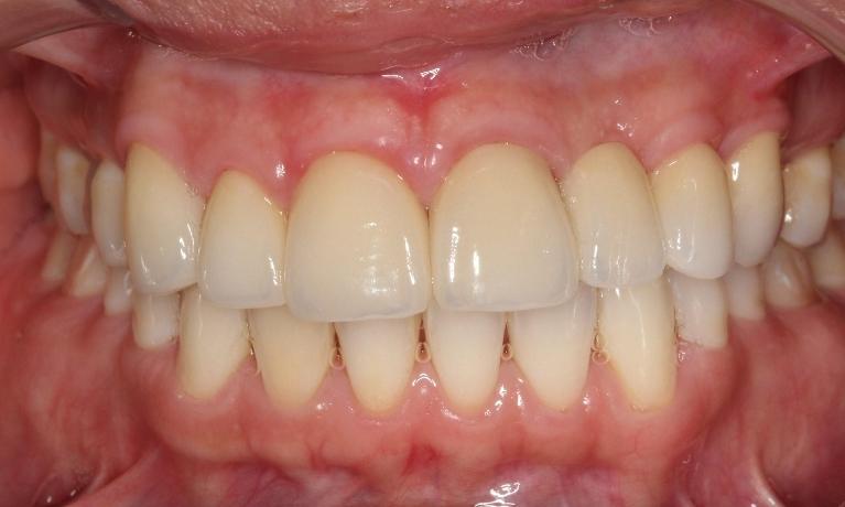
Replaced four front crowns to improve grey tones for a better matching smile.


Porcelain crown makeover, canine to canine to replace bridge and cosmetically unpleasing restoration


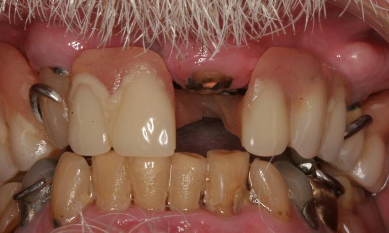
Restored with implant crowns, bridges and porcelain crowns.


Upper implant denture eliminated spacing and crooked smile and gum related issues


Restored with upper denture and removable lower partial.

